Osteoporosis: Why It’s More Than Weak Bones — It’s Shorter Life!
Most people think osteoporosis just means weak bones.
But it’s more than that. When your bones weaken, your bone marrow changes too — and that affects your whole body.
Your bone marrow makes blood cells and supports your immune system.
If it’s not working well, your body can’t stay strong or repair itself.
If you’re a woman in menopause, dealing with inflammation, or worried about bone loss, this
information is for you.
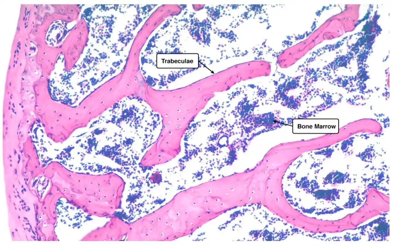
How Marrow Fat Leads to Weaker Bones
Inside your bones is a soft tissue called red bone marrow.
It’s where your body makes:
• Red blood cells (carry oxygen)
• White blood cells (fight infection)
• Platelets (help you heal)
As you age or deal with chronic inflammation, that red bone marrow slowly turns into yellow marrow, which is mostly fat.
Why This Matters
Fatty marrow can’t make healthy cells. It slows down bone repair and weakens your immune system.
It’s like turning a healthy garden into a dry desert — nothing strong can grow there.
When marrow fat builds up, your bones lose strength and your immune system becomes weak.
CTX Marker for Bone Health
You don’t have to wait for a bone scan or fracture to check your bone health.
A simple blood test called CTX (C-Telopeptide) can tell you how fast your bones are breaking
down.
What CTX Means
• High CTX → your bones are breaking down too quickly
• Low CTX → your bones are more stable and balanced
This test helps catch bone loss early so you can take action before it becomes serious.
Restoring Bone Marrow Stem Cell Function
The best news is — your bone marrow can recover.
What Stem Cells Do
Inside your bone marrow are stem cells, the tiny builders that repair bones, muscles, and your immune system.
But when you have inflammation, toxins, or hormone imbalances, those stem cells slow down.
How to Help Them Heal
A Functional Medicine approach focuses on healing from the inside out by:
• Reducing inflammation
• Balancing hormones
• Improving blood flow to bones
• Feeding stem cells with the nutrients they need to rebuild
Feeding stem cells with the nutrients they need to rebuild
When your stem cells start working again, your bones get stronger, your energy improves, and your body feels alive again.
Final Takeaway – Your Bones Show Your Health
Your bones are more than structure — they reflect your health.
When your bone marrow is strong, your body heals faster and feels better.
When it’s weak and full of fat, your health begins to fade.
Osteoporosis isn’t just about calcium.
It’s a sign your whole system needs help — starting deep inside your bone marrow.
You can rebuild your bones and your health naturally
Frequently Asked Questions About Bone Marrow and Osteoporosis
Osteoporosis doesn’t just make bones weak — it also affects the bone marrow inside your
bones.
When bone marrow fills with fat, it can’t make strong blood and immune cells.
That makes your bones weaker and your body slower to heal.
Bone marrow makes new blood cells and stem cells that repair bone tissue.
Healthy marrow keeps your bones strong and helps your body rebuild after stress or injury.
The CTX blood test checks how fast your bones are breaking down.
• A high CTX level means your bones are breaking down too quickly.
• A low CTX level means bone loss is slowing down and your bones are more stable.
It’s one of the best early warning signs for bone health problems.
Yes! Bone marrow can repair itself when the right conditions are in place.
Lowering inflammation, balancing hormones, and improving nutrition all help stem cells in your marrow wake up and start rebuilding bone.
Aging, inflammation, poor blood flow, and hormone changes can cause red marrow (the
healthy kind) to turn into yellow marrow (fatty tissue). This slows bone repair and weakens the immune system.
You can help your bone marrow by:
• Eating anti-inflammatory foods
• Getting regular movement
• Sleeping well
• Managing stress
• Supporting your body with a Functional Medicine program that targets root causes
Functional Medicine looks at why your bones are weak — not just how to add calcium.
It focuses on restoring bone marrow, calming inflammation, and supporting stem cells so your body can rebuild strong, healthy bone tissue.





